Nagpur
08048032161
+919765556557

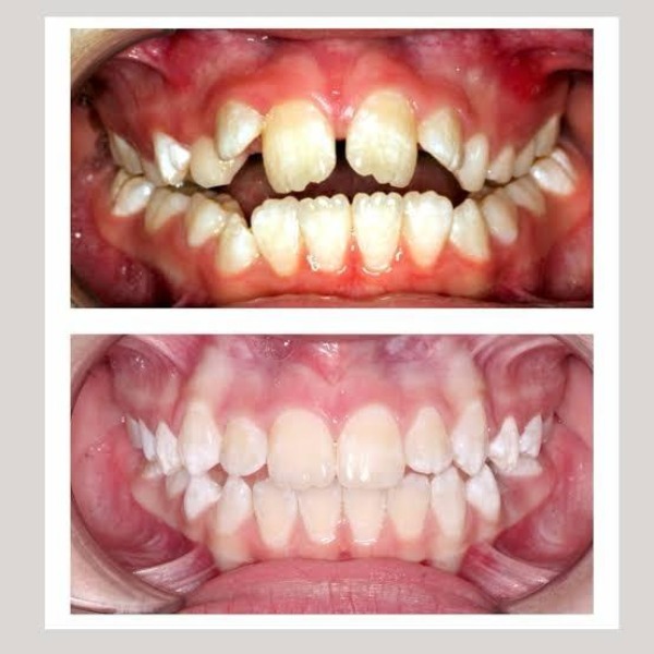
Perfect Your Smile with Teeth Alignment Treatment At Dr. Jain’s Multispeciality Dental Clinic, Nagpu

update image
🦷📐 Perfect Your Smile with Teeth Alignment Treatment At Dr. Jain’s Multispeciality Dental Clinic, Nagpur Crooked, crowded, or misaligned teeth affecting your smile? At Dr. Jain’s Multispeciality Dental Clinic, we offer advanced teeth alignment solutions to help you achieve a confident, well-balanced smile. ✨ Our Teeth Alignment Options: ✔ Traditional Braces (Metal / Ceramic) ✔ Clear Aligners (Invisible Braces) ✔ Customized orthodontic treatment plans ✔ Space maintainers & habit-breaking appliances for kids 🌟 What Teeth Alignment Helps With: 🔹 Crooked or rotated teeth 🔹 Gaps between teeth 🔹 Overbite, underbite & crossbite 🔹 Crowding 🔹 Improper jaw alignment 🧑‍⚕️ Why Choose Us for Orthodontic Treatment? At Dr. Jain’s Clinic, our orthodontic experts use modern techniques and precision planning to give you: ✨ A straighter smile ✨ Better oral health ✨ Improved bite ✨ Enhanced facial aesthetics 💺 Comfortable, safe & personalized treatment designed for kids, teens, and adults. A beautiful smile is just a treatment away—align your teeth and boost your confidence! 📍 Location: Nagpur 📞 Book Your Consultation Today! Start your journey to a perfectly aligned and attractive smile
 2025-12-04T17:12:35

Related Posts

update image

Safe & Expert Wisdom Tooth Removal At Dr. Jain’s Multispeciality Dental Clinic, Nagpur

2025-12-04T17:14:40 , update date

 2025-12-04T17:14:40
update image

Enhance Your Smile with Cosmetic Tooth Filling At Dr. Jain’s Multispeciality Dental Clinic, Nagpur

2025-12-04T17:13:34 , update date

 2025-12-04T17:13:34
update image

We are now open on saturdays n sundays also !

2024-02-24T07:47:16 , update date

 2024-02-24T07:47:16

footerhc